A team of Inserm and CNRS researchers has succeeded in developing new-generation chemical sensors to monitor the brain’s metabolism, particularly during stroke, trauma or epileptic seizure. Measuring less than 15 µm in diameter, these minimally-invasive tools monitor what is happening in the brain in order to obtain data that are much more reliable and representative of the neurochemical exchanges. This research has been published in ACS Central Science.
As tumors develop, they evolve genetically. How does the immune system act when faced with tumor cells? How does it exert pressure on the genetic diversity of cancer cells? Scientists from the Institut Pasteur and Inserm used in vivo video techniques and cell-specific staining to visualize the action of immune cells in response to the proliferation of cancer cells. The findings have been published in the journal Science Immunology...
What if by holding a tool we could perceive our environment through touch – using the whole tool, and not just the tip? A study by Inserm researchers at the Lyon Neuroscience Research Center (Inserm/Université Jean Monnet Saint-Etienne/Université Claude Bernard Lyon 1/CNRS) has shown just that – the capacity of the human brain to incorporate a tool as an actual sensory organ. This research, published in Nature, raises the...
A team of Pole-Imaging Research Explorations-European Hospital Georges Pompidou AP-HP, Paris Descartes University and INSERM led by Professor Olivier Clément, and a team from Caen University Hospital and the University of Caen Normandy, led by Dr Dominique Laroche, conducted the first national prospective multicenter study on allergic reactions to contrast media in radiology. 31 centers in France bringing together radiologists investigators, allergists, anesthetists and biologists have investigated 245 cases of...
Prof. Olivier Benveniste’s Inflammatory myopathies and innovative targeted therapies team at the Institute of Myology has produced a new classification of the different forms of myositis (rare inflammatory muscle diseases). Four new types of myositis taking into account the various clinical criteria of patients have now been defined. This research, involving teams from the Institute of Myology, Inserm, the Paris public hospitals system (AP-HP) and Sorbonne Université, was published...
A study published in The Lancet Oncology establishes for the first time that artificial intelligence can process medical images to extract biological and clinical information. By designing an algorithm and developing it to analyse CT scan images, medical researchers at Gustave Roussy, CentraleSupélec, Inserm, Paris-Sud University and TheraPanacea (spin-off from CentraleSupélec specialising in artificial intelligence in oncology-radiotherapy and precision medicine) have created a so-called radiomic signature. This signature defines...
Development of a cellular test to verify the safety of live vaccines, such as the yellow fever vaccine, without the need to use animal testing
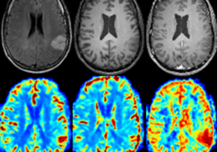
Will the radiology of the future come from machine learning? That is the view of Inserm and Inria researchers working in collaboration at the Université Grenoble Alpes who have developed a program able to localize and diagnose various types of brain tumors via MRI image analysis. These analyses have produced highly reliable results, with tumor localizations and tumor-type diagnoses accurate in 100% and over 90% of cases, respectively. This...
A multidisciplinary team of researchers from CNRS, INSERM and Université Toulouse III – Paul Sabatier has developed a hydrogel that can grow, develop and differentiate neural stem cells. This biomaterial could provide new paths for the development of in vitro cellular models of brain tissue or of in vivo tissue reconstruction. This work is published in ACS Applied Materials & Interfaces on May 14, 2018.
One of the major challenges identified by the WHO in efforts to eradicate the hepatitis C virus (HCV) is the diagnosis of chronic cases that are generally asymptomatic. Major progress is required for new diagnostic techniques that can be "decentralized", in other words accessed by populations and countries with limited resources. Scientists from the Institut Pasteur and Inserm, in collaboration with the company genedrive, have developed and validated a...