Menu
Press releases

MASH Discovery Redefines Subtypes with Distinct Risks : Shaping the Future of Fatty Liver Disease Treatment

09 Dec 2024 | By Inserm (Newsroom) | Circulation, metabolism, nutrition

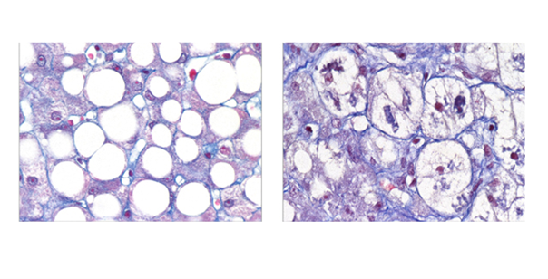
La MASH est une pandémie croissante dans le monde entier, qui va de pair avec l'augmentation de l'obésité et du diabète. Il s'agit également d'un domaine où les besoins médicaux non satisfaits sont importants. Crédits : François PattouMASH is a growing pandemic worldwide, with obesity and diabetes on the rise. It is also an area of significant unmet medical need. © François Pattou

Metabolic dysfunction-associated steatotic liver disease (MASLD), formerly referred to as nonalcoholic fatty liver disease (NAFLD), impacts roughly 30% of the global adult population. The disease spans from benign fat accumulation in the liver (steatosis) to its more severe form, metabolic dysfunction-associated steatohepatitis (MASH, formerly nonalcoholic steatohepatitis or NASH). MASH represents a dangerous progression, with the potential to cause cirrhosis, liver cancer, type 2 diabetes, and cardiovascular disease.

Despite its prevalence, MASH remains highly heterogeneous. Not all individuals follow the same clinical trajectory, and conventional treatment approaches often fail to account for these differences. Recognizing this gap, a groundbreaking study led by Prof. François Pattou and Prof. Stefano Romeo has redefined MASH by identifying two distinct subtypes with distinct risks and outcomes.

This transformative research, conducted at Lille University Hospital as part of the RHU PreciNASH project coordinated by Inserm, was made possible through collaboration with leading scientific teams from Inria, CNRS, the University of Lille, Lille University Hospital, and the Pasteur Institute of Lille, alongside international partners from Sweden, Italy, Belgium, and Finland. Published in Nature Medicine, the study marks a pivotal shift in the understanding and treatment of MASH.

Two Subtypes of MASH, Two Distinct Risk Profiles

The study identified and validated two distinct types of MASH based on histology and liver imaging, using data from European cohorts and the UK Biobank:

  • Liver-Specific MASH: A genetically driven subtype with rapid progression of liver disease but a surprisingly low risk of cardiovascular complications.
  • Cardiometabolic MASH: A high-risk profile linked to type 2 diabetes and cardiovascular diseases, alongside comparable liver disease progression.

What makes this discovery groundbreaking is that both subtypes exhibit similar histological features under the microscope or on imaging, making them indistinguishable using traditional diagnostic methods. However, their markedly different clinical outcomes underscore the critical need for advanced diagnostic tools and personalized interventions.

Transforming Diagnosis and Treatment

This study empowers clinicians to move beyond one-size-fits-all approaches to treating MASH. By leveraging simple clinical markers—age, BMI, HbA1c, LDL cholesterol, triglycerides, and ALT—patients can be stratified into specific subtypes, enabling tailored treatments:

  • Liver-Specific MASH: Focus on therapies to halt liver damage and prevent progression to cirrhosis or liver cancer.
  • Cardiometabolic MASH: Emphasize aggressive management of metabolic and cardiovascular risks alongside liver disease treatment.

This research marks a turning point,” says Prof. François Pattou. “We now have a clear path to develop subtype-specific treatments that can improve patient outcomes.”

Why This Discovery Matters

MASH is the most severe manifestation of MASLD, with the potential for devastating health consequences. However, its heterogeneity has often been overlooked, leading to inconsistent treatment outcomes.

This manuscript offers a transformative perspective on MASH and its heterogeneous outcomes,” notes an anonymous reviewer. “Thoughtfully conducted on large, well-characterized cohorts, it opens new doors for precision medicine in this field.

The Science Behind the Subtypes

The study utilized data from the French ABOS cohort of 1,389 individuals with obesity and validated its findings across three European MASLD cohorts (Italy, Belgium, and Finland), comprising 1,099 participants, as well as imaging data (MRI) from over 6,000 UK Biobank participants. By integrating clinical traits with liver transcriptomics and plasma metabolomics, researchers uncovered distinct biological pathways driving each subtype.

This discovery sheds light on why current treatments often yield inconsistent results,” explains co-lead researcher Prof. Stefano Romeo. “It was a true ‘eureka’ moment for our team.”

A New Era for MASH Treatment

This breakthrough highlights the urgent need for subtype-specific care, paving the way for innovative treatments and personalized medicine. Future research will explore how these subtypes respond to lifestyle interventions, pharmacological therapies, and other treatments in diverse populations.

We’ve always known MASH was heterogeneous,” concludes Prof. Romeo. “Now, we finally have a roadmap to turn these insights into real-world solutions for patients.

Medias
Researcher Contact

François Pattou

Head of the General and Endocrine Surgery Department at Lille University Hospital

Director of the Diabetes Translational Research Laboratory (U1190, Inserm/Institut Pasteur de Lille/Université de Lille/CHU de Lille)

E-mail : rf.ellil-vinu@uottap.siocnarf

Press Contact

Inserm

rf.mresni@esserp

CHU de Lille

Lille University Hospital Communications Department

Email : rf.ellil-uhc@uaerp.ardnaxela

Sources

Data-driven cluster analysis identifies distinct types of metabolic dysfunctionassociated steatotic liver disease

Violeta Raverdy  1,2,24, Federica Tavaglione  3,4,24, Estelle Chatelain5,24, Guillaume Lassailly6,24, Antonio De Vincentis7,8, Umberto Vespasiani-Gentilucci3,4, Sami F. Qadri  9,10, Robert Caiazzo1,2, Helene Verkindt1,2, Chiara Saponaro1 , Julie Kerr-Conte1 , Gregory Baud1,2, Camille Marciniak1,2, Mikael Chetboun1,2, Naima Oukhouya-Daoud1,2, Samuel Blanck11, Jimmy Vandel  5 , Lisa Olsson  12, Rima Chakaroun12, Viviane Gnemmi13,14, Emmanuelle Leteurtre13,14, Philippe Lefebvre15, Joel T. Haas  15, Hannele Yki-Järvinen9,10, Sven Francque  16,17, Bart Staels  15, Carel W. Le Roux  18, Valentina Tremaroli  12, Philippe Mathurin6 , Guillemette Marot11,19, Stefano Romeo  12,20,21,22,23 & François Pattou  1,2

1 Translational Research for Diabetes UMR 1190, University of Lille, Inserm, Institut Pasteur Lille, CHU Lille, Lille, France.

2 Department of General and Endocrine Surgery, Centre Hospitalier et Universitaire de Lille, Lille, France.

3 Operative Unit of Clinical Medicine and Hepatology, Fondazione Policlinico Universitario Campus Bio-Medico, Rome, Italy.

4 Research Unit of Clinical Medicine and Hepatology, Department of Medicine and Surgery, Università Campus Bio-Medico di Roma, Rome, Italy.

5 US 41 – UAR 2014 – PLBS Bilille, University of Lille, CNRS, Inserm, CHU Lille, Institut Pasteur de Lille, F-59000, Lille, France.

6 Department of Hepato-Gastroenterology CHU Lille, University of Lille, Inserm INFINITE-U1286, Lille, France.

7 Operative Unit of Internal Medicine, Fondazione Policlinico Universitario Campus Bio-Medico, Rome, Italy.

8 Research Unit of Internal Medicine, Department of Medicine and Surgery, Università Campus Bio-Medico di Roma, Rome, Italy.

9 Department of Medicine, University of Helsinki and Helsinki University Hospital, Helsinki, Finland.

10 Minerva Foundation Institute for Medical Research, Helsinki, Finland.

11 ULR 2694 METRICS: Évaluation des technologies de santé et des pratiques médicales, University of Lille, CHU Lille, F-59000, Lille, France.

12 Wallenberg Laboratory, Department of Molecular and Clinical Medicine, Institute of Medicine, University of Gothenburg, Gothenburg, Sweden.

13 Cancer Heterogeneity Plasticity and Resistance to Therapies, CANTHER-UMR9020-U1277 – CNRS, Inserm, CHU Lille, University of Lille, Lille, France.

14 Department of Pathology, CHU Lille, University of Lille, Lille, France.

15 Nuclear Receptors, Metabolic and Cardiovascular Diseases – U1011, University of Lille, Inserm, CHU Lille, Institut Pasteur Lille, Lille, France.

16 Department of Gastroenterology Hepatology, Antwerp University Hospital, Edegem, Belgium.

17 InflaMed Centre of Excellence, Laboratory for Experimental Medicine and Paediatrics, Translational Sciences in Inflammation and Immunology, Faculty of Medicine and Health Sciences, University of Antwerp, Wilrijk, Belgium.

18 Diabetes Complications Research Centre, University College Dublin, Dublin, Ireland.

19 MODAL: Models for Data Analysis and Learning, Inria, F-59000, Lille, France.

20 Clinical Nutrition Unit, Department of Medical and Surgical Sciences, University Magna Graecia, Catanzaro, Italy.

21 Department of Cardiology, Sahlgrenska University Hospital, Gothenburg, Sweden.

22 Department of Medicine Huddinge (H7), Karolinska Institutet and University Hospital, Stockholm, Sweden.

23 Department of Molecular and Clinical Medicine, Institute of Medicine, Gothenburg University, Gothenburg, Sweden.

24 These authors contributed equally: Violeta Raverdy, Federica Tavaglione, Estelle Chatelain, Guillaume Lassailly.

*This research was supported by the ‘Programme d’Investissement d’Avenir’ (PRECINASH, ANR-16-RHUS-0006; European Genomic Institute for Diabetes, ANR-10-LABX-0046), Lille University (WILL-CHAlRES-23-001), Fondation de la Recherche Médicale (EQU202303016330 PATTOU), EU Horizon 2020 research and innovation program (Innovative Medicines Initiative 2, project SOPHIA 875534).

Nature Medicine, décembre 2024

DOI : 10.1038/s41591-024-03283-1

fermer