Menu
Communiqués et dossiers de presse

Découverte d’un nouveau mécanisme clé de la progression des maladies rénales

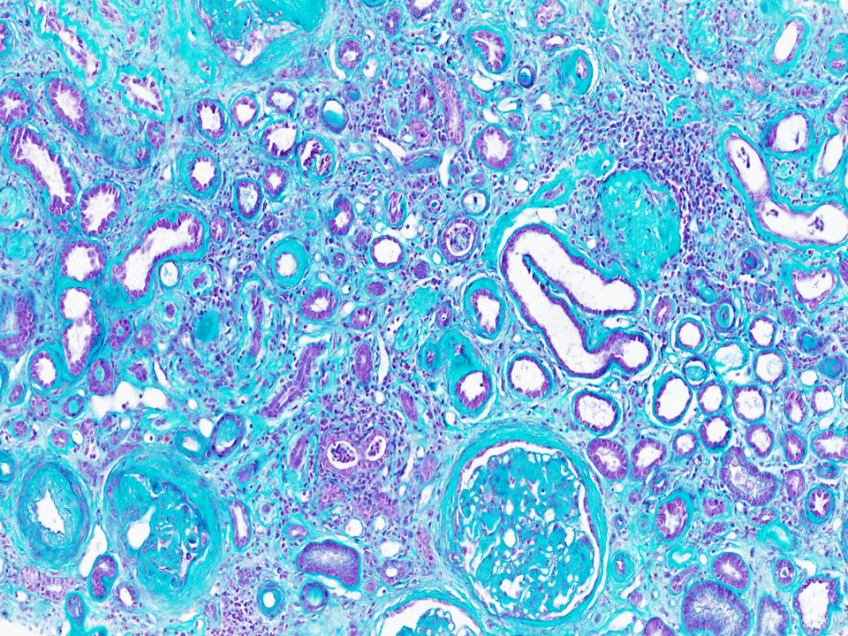
Image de microscopie optique d’un rein de patient présentant une insuffisance rénale terminale. La fibrose interstitielle importante (collagène et tissu conjonctif fibrosé en cyan) et l’atrophie des tubules rénaux (petits canaux entourés d’une paroi épaissie en violet) témoignent d’un remplacement progressif et irréversible du tissu rénal fonctionnel par du tissu cicatriciel. Coloration : trichrome de Masson. © Fabiola Terzi, Marco Pontoglio/Inserm

Les maladies rénales chroniques ont un point commun : une fois amorcées, quelle qu’en soit la cause et même si celle-ci est traitée, elles finissent toujours par s’aggraver. Deux équipes de l’Inserm, du CNRS et de l’Université Paris Cité viennent de découvrir le chef d’orchestre de ce mécanisme de progression inexorable : la protéine HNF1B. Au-delà d’une avancée majeure sur le plan de la connaissance de ces maladies, les équipes ont identifié une nouvelle cible thérapeutique d’intérêt majeur. Ces travaux sont à paraître dans la revue Science.

La maladie rénale chronique touche plus de 10 % de la population mondiale, soit environ 850 millions de personnes. Elle se caractérise par une perte progressive et irréversible de la fonction rénale, pouvant nécessiter une dialyse voire une transplantation.

Plusieurs facteurs de risque sont bien identifiés : diabète, hypertension, obésité ou inflammation. Cependant, même si la cause initiale est traitée, le déclin de la fonction rénale est, dans la grande majorité des cas, inéluctable. Ce caractère auto-entretenu représente un aspect particulièrement inquiétant de la maladie rénale ; en acquérant sa propre dynamique, elle devient difficile à enrayer. Jusqu’à présent, les mécanismes biologiques responsables de cette progression continuaient de rester largement méconnus.

Deux équipes de l’Institut Necker-Enfants malades (Inserm/CNRS/Université Paris Cité) dirigées par Marco Pontoglio, directeur de recherche CNRS, et Fabiola Terzi, directrice de recherche Inserm et directrice de l’Institut Necker-Enfants malades, se sont intéressées à ces mécanismes biologiques, et plus particulièrement au rôle dans le rein adulte de la protéine HNF1B (Hepatocyte Nuclear Factor 1 beta). Elle contrôle l’expression de nombreux gènes et joue un rôle indispensable dans la formation du rein au cours du développement embryonnaire.

En effet, chez l’humain, des mutations du gène HNF1B provoquent une diminution de l’activité de cette protéine, ce qui entraîne une maladie génétique rare du rein. Et fait frappant : les lésions observées chez les patients peuvent ressembler à celles retrouvées dans les formes les plus courantes de la maladie rénale chronique, à savoir une fibrose ou encore une atrophie du tissu rénal. Cette similarité a conduit les chercheuses et chercheurs à formuler une hypothèse : le dysfonctionnement de HNF1B pourrait représenter un mécanisme commun reliant les maladies rénales rares et les formes beaucoup plus fréquentes comme la maladie rénale chronique.

Les équipes de recherche ont ainsi observé que la perte de l’activité de HNF1B dans le rein adulte humain et de souris provoquait une insuffisance rénale chronique rapide et sévère, accompagnée de fibrose et d’atrophie du tissu rénal. Privées de l’activité de HNF1B, les cellules tubulaires rénales – qui tapissent les tubules rénaux et jouent un rôle majeur dans la fonction du rein –, normalement hautement différenciées et stables, perdaient leur identité et leur spécialisation et commençaient à proliférer de façon inappropriée. Cette prolifération s’accompagnait alors de mort cellulaire ou de vieillissement prématuré des cellules, contribuant à la fibrose progressive du rein et à la dégradation de sa fonction.

Les chercheuses et chercheurs ont également identifié un ensemble de gènes dont HNF1B régule l’expression. Cet ensemble apparaissait altéré très précocement dans plusieurs modèles de maladie rénale chronique chez la souris, parfois avant même l’apparition de lésions visibles, et était associé à un défaut de réparation du tissu rénal.

Les scientifiques ont également montré que les facteurs associés à la maladie rénale, tels que l’inflammation ou la présence d’albumine[1] dans les urines, réduisaient l’activité de HNF1B. Grâce à des techniques de pointe d’analyse de l’activité des gènes, ils ont mis en évidence un phénomène clé : le stress subi par les cellules du rein lors d’une maladie rénale chronique entraîne une répression des gènes régulés par HNF1B.

« Nos résultats révèlent l’existence d’un véritable cercle vicieux qui explique le caractère auto-entretenu des maladies rénales : la diminution de l’activité de HNF1B favoriserait la maladie rénale, et en retour, la maladie rénale supprimerait progressivement l’activité de HNF1B, aggravant encore les lésions rénales. Ce mécanisme pourrait expliquer pourquoi la maladie rénale chronique à tendance à s’aggraver de façon continue, même en l’absence de nouvelle agression », résume Marco Pontoglio.

Ce mécanisme serait bien commun à de nombreuses maladies rénales. En effet, l’analyse de plus de 900 biopsies rénales de patients atteints de maladie rénale chronique de différentes origines et couvrant tous les stades de gravité, a systématiquement mis en évidence la signature moléculaire caractéristique de la perte de fonction de HNF1B.

Les anomalies étaient d’autant plus marquées que la maladie était avancée, confirmant le rôle majeur de cette protéine dans la sévérité de l’atteinte rénale. « Cette étude établit HNF1B comme un véritable gardien de la fonction du rein. Sa perte d’activité relie pour la première fois les maladies génétiques rénales rares et les formes communes de la maladie rénale chronique par un mécanisme unique », clarifie Fabiola Terzi.

Ces résultats ouvrent une nouvelle perspective thérapeutique majeure : « trouver un moyen de restaurer l’activité de HNF1B pourrait permettre de ralentir, voire de modifier l’évolution de la maladie rénale chronique » conclut Fabiola Terzi.

Ces travaux font l’objet d’un brevet déposé auprès d’Inserm Transfert en 2025.

[1] L’albumine est une protéine produite par le foie et qui circule dans le sang. Elle traverse difficilement le filtre rénal, sauf lorsque celui-ci est endommagé. Un taux élevé d’albumine dans les urines est donc révélateur d’une maladie rénale.

Contacts
Contact scientifique

Fabiola Terzi

Directrice de recherche Inserm

Institut Necker-Enfants malades, unité 1151 Inserm/ UMR 8253 CNRS/Université Paris Cité

contact mail

 

Marco Pontoglio

Directeur de recherche CNRS

Institut Necker-Enfants malades, unité 1151 Inserm/ UMR 8253 CNRS/Université Paris Cité

contact mail

Contact Presse

Inserm

contact mail

CNRS

contact mail

 

Sources

HNF1B integrates signals in a feed-forward loop driving kidney disease progression

 

Pierre Isnard1,2 , Munevver Parla Makinistoglu1 , Michel Leibovici1, Jonathan Levinsohn3,4,5,6, Nicolas Zimmermann1,7, Camille Cohen1, Serge Garbay1, Clement Nguyen1, Deborah Gaglioti1, Magali Chiral1, Armelle Grevellec1, Arianna Fiorentino1, Dorien JM Peters8, Evelyne Fischer1,9, Frank Bienaimé1,10, Katalin Susztak3,4,5,6, Fabiola Terzi1 ‡*, Marco Pontoglio1 ‡*

†The authors contribute equally to the work

‡These authors share senior authorship

* These authors are co-corresponding authors senior authorship

1Université Paris Cité, Inserm U1151, CNRS UMR 8253, Institut Necker Enfants Malades, Paris, 75015 France

2Département de Pathologie, Centre Hospitalier Universitaire Necker-Enfants Malades, APHP, Paris, 75015 France

3Renal, Electrolyte, and Hypertension Division, Department of Medicine, University of Pennsylvania, Perelman School of Medicine, Philadelphia, PA 19104, USA

4Institute for Diabetes, Obesity, and Metabolism, University of Pennsylvania, Perelman School of Medicine, Philadelphia, PA 19104, USA.

5Penn/CHOP Kidney Innovation Center, University of Pennsylvania, Perelman School of Medicine, Philadelphia, PA 19104, USA.

6Department of Genetics, University of Pennsylvania, Perelman School of Medicine, Philadelphia, PA 19104, USA

7Current address: Institut Curie CNRS UMR3666 – Inserm U1339, Paris 75005, France

8Department of Human Genetics, Leiden University Medical Center, 2333 ZA Leiden, The Netherlands.

9Current address: Institut de Biologie de l’École Normale Supérieure (IBENS), CNRS, Inserm, École Normale Supérieure, PSL Research University, 75005 Paris, France.

10Service de Physiologie, Centre Hospitalier Universitaire Necker-Enfants Malades, AP-HP, Paris, 75015 France

Science, 16 avril 2026

DOI: https://doi.org/10.1126/science.aea3219

fermer