Widely used by the food industry, emulsifiers – a type of food additive – are found in many everyday foods. Given their omnipresence in our diet, the health effects of their consumption have become a real public health issue. Benoit Chassaing, Inserm Research Director and leader of the Microbiome-Host Interactions team at Institut Pasteur (Inserm/Université Paris Cité/CNRS), has previously shown that by acting directly on our gut microbiota, these additives...
MASH, formerly known as NASH, is a serious chronic liver disease that affects around 4-6% of the world's adult population. A new study reveals that, contrary to what was previously thought, there is not just one form of MASH, but two. They differ both in terms of biological characteristics and progression. One is of genetic origin, while the other is the consequence of metabolic disorders. This discovery, made at...
In celebration of its 60th anniversary, Inserm is emphasizing its scientific collaboration with the United States and Canada. This privileged and fruitful relationship with North America will be highlighted during a day of scientific and institutional exchanges on October 29, 2024, at the French Embassy in Washington, DC. The event will be attended by Professor Didier Samuel, President and CEO of Inserm, along with representatives from numerous partner institutions....
Central Africa, especially the Democratic Republic of the Congo (DRC), is highly affected by successive mpox outbreaks. Until now, the extent of genetic diversity of the virus had not been well characterised in this region of the world. For the first time, as part of the AFROSCREEN project and the PANAFPOX project, teams from the Institut National de Recherche Biomédicale (INRB) in DRC, IRD and Inserm have provided important...
Nirsevimab is an antibody targeting the respiratory syncytial virus (RSV). Available in France since September 2023, it is indicated in neonates and infants for the prevention of bronchiolitis caused by RSV. However, its widespread use raises the question of the emergence of resistance mutations. The POLYRES study, the largest prospective surveillance study of nirsevimab breakthrough infections to date, has just delivered its conclusions. Scientists have shown that nirsevimab resistance...
Researchers from the Nutritional Epidemiology Research Team (CRESS-EREN), with members from Inserm, Inrae, Cnam, Université Sorbonne Paris Nord and Université Paris Cité, in collaboration with researchers from the International Agency for Research on Cancer (WHO-IARC), report an increased risk of cardiovascular diseases associated with the consumption of foods that rank less favourably on the Nutri-Score scale (new 2024 version) within the European cohort EPIC.
Epidemics of Ebola virus disease occur periodically in several sub-Saharan African countries. Two vaccines have already received WHO prequalification against the Ebolavirus Zaire species. In a new study conducted in Guinea, scientists from VRI, Inserm and Université Paris-Est Créteil (U955 Institut Mondor de recherche biomédicale) have taken a further step in this direction. They have shown that the cellular immune response induced by three different vaccine strategies is...
Age-related macular degeneration (AMD) is the leading cause of visual disability in people over 50 years of age. Improving the treatment offering for patients is a major challenge for research. In a new study, a team of researchers from Inserm, CNRS and Sorbonne Université at the Vision Institute in Paris describes the efficacy of dopaminergic drugs in slowing the progression of one of the forms of the disease, namely...
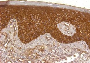
Psoriasis is a chronic inflammatory disease characterised by the rapid and excessive multiplication of skin cells. Although research is progressing and certain treatments are already able to improve the daily lives of patients, this disease remains incurable. The team led by Carole Peyssonnaux, Inserm Research Director at Institut Cochin (Inserm/CNRS/Université Paris Cité) has shown that a hormone that regulates iron in the body, called hepcidin, is produced by the...
Nearly one in three cancers develops following chronic inflammation, whose origin remains unclear. In a new study, researchers from Inserm, CNRS, Université Claude-Bernard Lyon 1 and the Léon Bérard Centre at the Cancer Research Center of Lyon identified lymphocytes involved in the inflammatory processes and that are thought to be implicated in the generation of these cancers. This research opens up new avenues in terms of prevention and treatment.