Grâce à une importante analyse génomique des cancers du foie de l'enfant, l'équipe du Professeure Jessica Zucman-Rossi au Centre de Recherche des Cordeliers (Université de Paris, Inserm, Sorbonne Université), et ses collaborateurs du réseau Hepatobio, ont identifié de nouveaux mécanismes de résistance à la chimiothérapie.
Certains pesticides utilisés en Europe sont suspectés d’avoir des effets néfastes sur la santé humaine. Ils provoqueraient des perturbations hormonales et auraient également des propriétés carcinogènes, déjà observées en milieu professionnel. Le lien entre l’exposition à ces pesticides via l’alimentation et le cancer du sein dans la population générale est encore peu étudié.
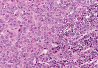
Les anticorps monoclonaux font partie de l’arsenal thérapeutique pour détruire les cellules cancéreuses. Certains font appel au système immunitaire pour agir : ils font donc partie des « immunothérapies ». Mais comment ces anticorps fonctionnent-ils au sein de la tumeur ? Et comment peut-on espérer améliorer leur efficacité ?
Des chercheurs ont démontré in vitro le pouvoir anti-infectieux de véritables "leurres biologiques", les vésicules extracellulaires qui portent à leur surface les récepteurs du virus SARS-CoV-2, responsable de la pandémie Covid-19. Ces résultats ouvrent de nouvelles pistes thérapeutiques et poussent les chercheurs à poursuivre ces travaux.
Une équipe internationale vient de publier dans la revue Immunity une étude qui ouvre des perspectives pour améliorer l’efficacité de l’immunothérapie.
Les données d'une nouvelle étude confirment que le traitement par hormone de croissance suite à une radiothérapie chez les enfants qui présentent un déficit de cette hormone n’augmente pas le risque de survenue d’un second cancer.
Le cancer du sein est le type de cancer le plus répandu dans le monde et l'une des principales causes de décès chez les femmes. Une étude impliquant des chercheurs de l’Université Paris-Saclay, de l’Inserm et d’INRAE vient d’établir un lien entre le travail de nuit et l'augmentation du risque de cancer, suggérant que la perturbation du rythme circadien pourrait rendre les tumeurs plus agressives.
Une analyse de la cohorte CANTO, réalisée par des médecins-chercheurs de Gustave Roussy, de l’Inserm et de l’université Paris-Saclay, démontre pour la première fois à l’aide d’une mesure biologique que les jeunes femmes qui ne suivent pas leur traitement d’hormonothérapie (tamoxifène) pour le cancer du sein rechutent davantage.
Éliminer les cellules sénescentes qui s’accumulent dans l’organisme est une stratégie thérapeutique considérée comme très prometteuse pour lutter contre le vieillissement. Les travaux d’une équipe viennent remettre en cause cette approche.
Un banal champignon comestible pourrait changer la donne dans le traitement des maladies génétiques rares, qui touchent des centaines de millions de personnes à travers le monde. Une équipe de recherche a montré que l’un des principes actifs contenus dans le champignon Lepista inversa a des propriétés réparatrices permettant de corriger certaines mutations génétiques, dites mutations « non-sens ».
Les chercheurs de l’Institut Pasteur et de l’Inserm ont décrit l’activité spatiotemporelle des lymphocytes T infiltrant la tumeur, à courte et à longue distance.